Fersensporn | Walk on air | fortschrittliche Technologien für Gesundheit und Fitness
 

Fersensporn / Plantar Fasciitis / Fasziitisplantaris

Der Fersensporn, auch Fasciitis plantaris genannt, ist mit die verbreitetste Überlastungsreaktion der Füße in den Industrienationen. Harte Böden und unflexibles, stützendes Schuhwerk, sorgen dafür, dass ein Grossteil der Last beim Gehen und Stehen von der Ferse getragen werden muss.
Das führt oftmals langfristig zu Schmerzen und Beschwerden im Fersenbereich.
Die Lösungen der Medizin und der Schuhindustrie sind entweder extrem teuer oder verschlimmern die Situation langfristig eher, da nicht die Ursachen bekämpft werden, sondern nur die Symptome.

Karl Müller erklärt in einem informativen Spot die Ursachen des Fersensporn und wie Sie ihn am besten behandeln.

 

 

Definition

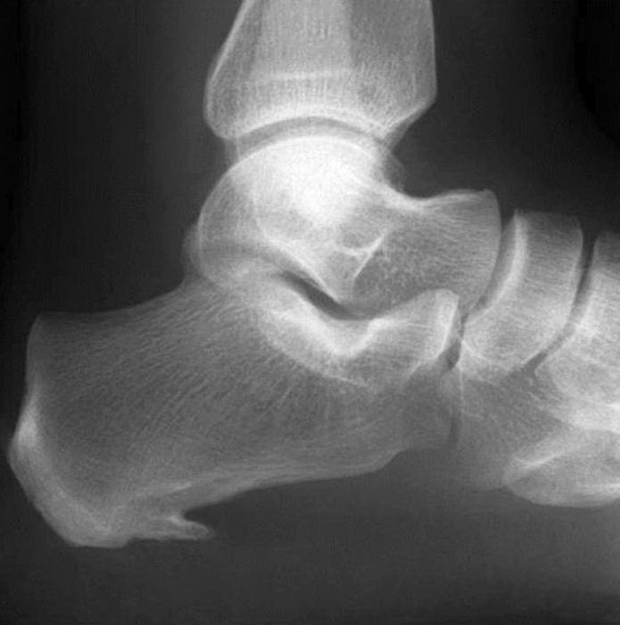
Fasciitis Plantaris

Eine Entzündung an der Fußsohle, genauer, am Ansatzpunkt der Plantarsehne zum Fersenbein. Als Folge einer längerfristigen Entzündung kann sich ein knöchernes Überbein (Sporn) bilden, dann reden wir vom Fersensporn.

Haglund-Exostose

Eine verstärkte Verknöcherung des hinteren oberen Sehnenansatzes der Ferse mit Beschwerden durch Druck des Schuhrandes.
Es spielt keine Rolle, wo sich der Sporn/ Verknöcherung befindet. Die Therapie ist für beide Krankheitsbilder die gleiche: Wichtig ist, dass der Fuß abrollt und die verkürzte/verklebte Muskulatur/ Sehnen mobilisiert werden. Für das eignet sich der kyBoot/kyBounder bestens.

 

Ursachen

Die Entzündung der Plantarfaszie ist eine Reaktion des Körpers auf eine Überlastung in diesem Bereich. Die Ursache bei Fasciitis Plantaris liegt meistens bei einer zu großen Belastung auf den schmerzhaften Punkt. Folglich verkürzt und verklebt die Plantarfaszie (der Körper möchte sie verstärken um der Überbelastung entgegenzuwirken) und folglich kommt noch mehr Druck auf die schmerzhafte Stelle.
Eine Hauptursache für ein Verkürzen der Plantarsehne ist die Bewegungseinschränkung der Füße im Alltag. Da wir uns meistens auf hartem Untergrund wie Beton fortbewegen und dazu noch unbewegliches Schuhwerk tragen (z.B Businessschuhe mit steifen Sohlen oder Absatzschuhe), werden die Füße in ihrer Bewegungsfreiheit stark eingeschränkt.  Da dadurch die meisten Fußgelenke nie richtig gebraucht werden, erscheinen diese dem Körper überflüssig und er beginnt, die von Natur aus sehr beweglich konstruierten Füße, dem zivilisieren Alltag anzupassen indem er sie stabilisiert bzw. "versteift".

 

Langzeitfolgen

Durch monatelange Schmerzen, ohne Therapie des Ursprungs, entwickelt der Körper Ausweichmechanismen um die schmerzhafte Stelle am Fuß zu entlasten. Der gesunde Fuß wird vermehrt belastet, der Betroffene beginnt zu hinken und dies führt zu Fehlbelastungen in anderen Gelenken (Knie, Hüft, Rücken...). Jeder Mensch reagiert anders, es gibt somit viele verschiedene Ausweichmechanismen, die ein Betroffener entwickeln kann; das heißt, es können verschiedene Gelenke überlastet werden.

 

Konventionelle Therapie

Die meisten Ärzte verordnen ein Polsterkissen, das unter die Ferse gelegt wird.
Manchmal werden auch orthopädische Schuh-Einlagen verordnet. 
In der Physiotherapie wird Fersensporn u.a. mit Ultraschall und/oder Elekrotherapie, Triggerpunkt-Therapie oder Massage behandelt. Die Fuß- und Unterschenkelmuskulatur wird aktiv mit Übungen gedehnt und gekräftigt.

 

kybun Wirkungsprinzip – Proaktiv handeln

Bei einer entzündeten Plantarsehne mit/ohne Riß in der Sehnenplatte oder Fersensporn ist es wichtig, dass die betroffene Stelle schonend belastet wird, damit sie heilen kann. Im kyBoot kann der Fuß auf der weich-elastischen Sohle natürlich abrollen, somit wird die Plantarsehne schonend mobilisiert und gedehnt. Dies ist wichtig für die Heilung, da durch das Abrollen die Plantarsehne gut durchblutet wird. Dies wiederum fördert den Abtransport der entzündlichen Stoffe im Gewebe und durch die gute Versorgung mit Sauerstoff, die Heilung. So können Sie die Plantarsehne bei der Ursache behandeln. Außerdem wird das Gewicht des Fußes im kyBoot und auf dem kyBounder auf der gesamten Fußsohle verteilt und dadurch der punktuelle Druck reduziert und die Ferse entlastet.

Erst durch die Therapie der Plantarsehne durch Dehnung und Mobilisation, wird die schmerzhaft Stelle (Fersensporn am Ansatz der Sehne) entlastet und die Entzündung kann abklingen.

 

Erstreaktionen

Spezifische Erstreaktionen bei Fersensporn:

Aufgrund von vorhandenen Verkürzungen der Wadenmuskulatur und der Sehnenplatte im Fuß kann es zu einer starken Dehnung kommen, die anfangs zu Entzündungsreizen führen kann. Wenn dies bei Ihnen auftritt, sollten Sie unbedingt Pausen einhalten oder/ und ein "lockeres Traben" im kyBoot im Alltag integrieren. Es ist besser im kyBoot zu gehen anstatt zu stehen, aber UNBEDINGT regelmässig tragen.

Wenn der kyBoot nur ab und zu getragen wird, ist die Dehnung nicht nachhaltig und der Entzündungsschmerz wird immer wieder kommen.

Für allgemeine Erstreaktionen bei kyBounder und kyBoot Neueinsteigern, klicken Sie hier: Erstreaktionen

 

kybun-Übungen

Für Informationen zu den kyBoot Spezialübungen und den kyBounder Grundübungen klicken Sie bitte hier: kybun Übungen

Folgende Anpassungen der Standarddurchführung des Intervall Walkings sind bei Fersensporn wichtig: 

  1. Kurze Schritte machen und nicht zu stark über die Ferse abrollen, damit keine weitere Reizung auftritt
  2. Fokus eher auf langsame Übung
    - bei starken Schmerzen auch rückwärts gehen
  3. Bei schneller Übung nicht zu stark abrollen (Reizung verhindern)

 

Anwendungstipps

Das Wichtigste ist, dass Sie möglichst alle Schläge auf die schmerzhafte Stelle der Ferse vermeiden! Dies gelingt am besten, wenn Sie im kyBoot oder auf dem kyBounder anfangs kleine Schritte machen und sanft auf die Ferse aufsetzen. 
Rollen Sie danach über den ganzen Fuß und stoßen Sie über die Großzehe ab, so wird die Sehnenplatte an der Fußsohle alternierend gedehnt und in der Schwungbeinphase gelockert.
Wenn Sie spüren, dass Ihre Fußsohle verkrampft, rate ich Ihnen, stehend den betroffenen Fuß in der Luft zu lockern (Fußkreisen, Zehen bewegen, Fuß in alle möglichen Richtungen bewegen; was Ihnen gut tut).

Wir raten, den kyBoot ohne Schuheinlagen zu tragen. Falls Sie orthopädische Schuheinlagen besitzen, können Sie diese in die "normalen" Schuhe legen und in den kyBoot-Pausen, als passive  Entlastung für die Füße, tragen. Viele kyBoot Träger, die früher Schuheinlagen trugen, berichteten uns, dass sie diese nicht mehr benötigen. Jedoch, jeder Körper reagiert individuell!